组织芯片---结果分析
费用包含常规结果如下: 典型的膜着色; 1:膜的链接度 2:膜的面积 3:膜的染色 细胞核着色: 1:细胞总数 2:阳性细胞占比 3:阳性细胞染色强度 胞浆胞核染色: 1:阳性面积 2:阳性率 3:染色强度 其他个性化分析方案需向销售人员询价。
RMB 500组织芯片---免疫组化(IHC)
1.免疫组化预实验(客户提供组织芯片):1000元/抗体; 2.免疫组化预实验(客户不提供组织芯片):2000元/抗体; 3.免疫组化正式实验:500/张
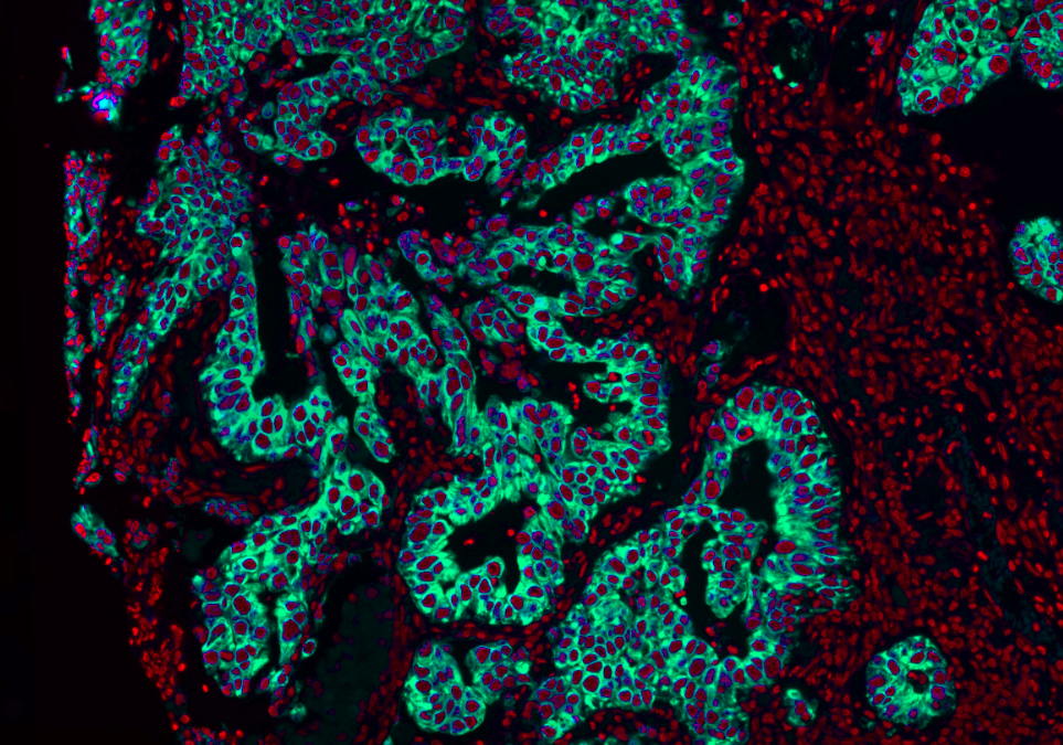
RMB 询价组织芯片---多重荧光染色(mIHC)
多重免疫荧光组化技术多重荧光免疫组化技术(Multiplex immunohistochemical,mIHC) 也称作酪氨酸信号放大 (Tyramide dignal amplification,TSA) 技术,是一类利用辣根过氧化酶(Horseradish Peroxidase, HRP) 对靶蛋白或核酸进行高密度...
RMB多重荧光免疫组化(mIHC)---简介
多重荧光免疫组化技术优势: A. 灵敏度高达传统方法的100倍以上,检测低丰度靶标优势更明显。 B. 与ICC、IHC、FISH兼容,实验流程与其类似。 C.一抗 使用更少,节约成本。 D.简化了多重免疫组化primary antibody panel设计。
RMB 询价组织芯片---多重荧光免疫组化(mIHC)染色
组织芯片多色是公司的主打实验服务项目,公司优势----1、自建了组织芯片库,芯片及资料信息完备,现货。2、多色实验自己的检测平台,不需要外包,还可以参观实验,售后无忧!
RMB 询价大切片 ---多重荧光免疫组化(mIHC)染色
多重荧光免疫组化技术优势: A. 灵敏度高达传统方法的100倍以上,检测低丰度靶标优势更明显。 B. 与ICC、IHC、FISH兼容,实验流程与其类似。 C.一抗 使用更少,节约成本。 D.简化了多重免疫组化primary antibody panel设计。
RMB 询价多重荧光免疫组化(mIHC)---扫描
Akoya Vectra Polaris 全组织切片多色荧光扫描仪 仪器应用及特点: Akoya Vectra Polaris 是新一代的全组织切片多色荧光扫描仪,创新性的将光谱成像和切片全景扫描功能完美融合,实现革新性的技术跨越。 特点: • 光谱拆分技术有效识别多重信号(多达9色荧光) • 高速...
RMB 询价
