一,什么是组织多色免疫荧光?
组织多色免疫荧光(mIHC)是一种多标记免疫组化染色方案,它基于酪酰胺信号放大技术(TSA,TyramideSignal Amplification),可以为组织样品特别是石蜡组织样品进行染色。该技术允许同一样本中使用同一种属来源的不同一抗进行多标记复合染色,配合多光谱成像分析系统,可以获得高信噪比的图像,甚至是多达 6 种标记的同步染色和共定位及定量分析,满足组织微环境中复杂表型分析的需求。
在组织多色免疫荧光过程中,荧光素耦合的 TSA 在 HRP 和过氧化氢的作用下被活化,跟临近蛋白的氨基酸残基共价偶联,使得蛋白样品与荧光素稳定结合。经过微波处理,前一轮非共价结合的抗体被洗掉,共价结合的荧光素还留存在样品上。再换个一抗来第二轮孵育,周而复始。等到所有抗体孵育结束,荧光素都结合好后,最后检测结果。

二,组织多色免疫荧光的基本原理是什么?
组织多色免疫荧光的基本原理是利用荧光染料标记抗体或其他分子,然后将其与待检测的样品进行反应,通过荧光显微镜观察标记物的分布情况,从而实现对样品中多种分子或细胞的同时检测。这种技术利用了抗原抗体反应的高度特异性和荧光染料的荧光效应,使得不同的抗原抗体结合物在荧光显微镜下能够呈现出不同的颜色和亮度,从而实现多色免疫荧光的可视化。

三,优点有哪些?
组织多色免疫荧光技术具有以下优点:
可以使用同一动物来源的一抗,进行同一组织切片上多种marker的荧光多重标记。
由于具有优秀的信号放大性能,它可将信号强度完成10-100倍的信号提升,大大提高对于弱信号及不易标记的蛋白的探测灵敏度。
可以在同一张切片上同时或依次对多个蛋白分子进行染色,展示组织原位多个蛋白标志物的空间分布。
运用HALO病理图像分析平台对光谱图像进行定量研究和空间位置关系分析。
总之,组织多色免疫荧光是一种强大的研究工具,可以用于揭示组织微环境中复杂表型分析,提高对弱信号及不易标记的蛋白的探测灵敏度,并展示组织原位多个蛋白标志物的空间分布。

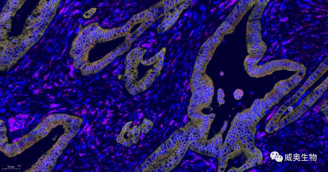
四,部分实验图展示



五,实验步骤
Step 1:选定待测组织、待测指标;
Step 2:组化验证、单色验证;
Step 3:多色荧光标记;
Step 4:各通道图像采集;
Step 5:数据分析(细胞类型、表达强度定量分析)和实验结果;
Step 6:坐等结果啦~
六,威奥生物服务宗旨
1. 提供9种染色指标(含DAPI)的多色免疫组化服务,样本可涵盖人、小鼠、大鼠等多物种组织类型的石蜡/冰冻样本切片,并提供全景扫描高分辨率多色组合图(9种以内任选组合)和单色原图。
2. 提供IHC各类配套应用服务,包括组织芯片制作染色,个性化定制样本等。
3. 包售后

上海威奥丨组织阵列切片 